Pérdida de hueso dental: causas, síntomas y tratamientos disponibles
¿Sabías que la pérdida del hueso maxilar —conocida por muchos pacientes como pérdida de hueso dental— puede impedirte colocarte implantes dentales en el futuro? Esta es una de las razones por las que es tan importante detectarla y tratarla a tiempo. Soy la Dra. Carolina Gil, odontóloga y cirujana oral y maxilofacial, y en este artículo quiero contarte información relacionada con este tema que veo a diario en consulta. Vamos a hablar de por qué se pierde hueso, cómo afecta tu salud oral, y qué soluciones existen —porque sí, hay alternativas, y son muy eficaces cuando se hace una buena planificación.
¿Qué es la pérdida de hueso dental o maxilar?
Cuando hablamos de pérdida del hueso maxilar —o lo que muchas personas llaman pérdida de hueso dental— no nos referimos solo a un tema estético. Esta condición afecta la estructura, la funcionalidad y la posibilidad de hacer ciertos tratamientos como los implantes dentales. Muchas personas no se dan cuenta de que están perdiendo hueso hasta que ya es demasiado evidente, por eso es tan importante conocer qué es, por qué ocurre y cómo podemos tratarlo a tiempo.
Definición y función del hueso dental (hueso maxilar)
El hueso maxilar es la base sobre la que se apoyan tus dientes. Es el que le da forma a la parte media de tu cara y cumple un rol fundamental en funciones como masticar, hablar y mantener el equilibrio estético del rostro. También sostiene las encías y permite una correcta oclusión (es decir, cómo encajan los dientes entre sí).
Cuando perdemos un diente y no lo reemplazamos, ese hueso deja de recibir estímulo. Y como cualquier parte del cuerpo que no se usa, empieza a atrofiarse. Esa reabsorción ósea —frecuentemente buscada en internet como pérdida de hueso dental— puede ser lenta o rápida, dependiendo del caso, pero con el tiempo puede complicar tratamientos futuros como los implantes.
Lee también el blog ¿Poco hueso? La elevación del seno maxilar es la clave
¿Por qué es esencial el hueso para la salud oral y los implantes dentales?
Porque sin hueso, no hay dónde anclar un implante. El hueso maxilar actúa como la base firme que sostiene el “tornillo” del implante dental. Si no tenemos suficiente volumen óseo o si el hueso no es de buena calidad, el implante no se puede colocar o no va a integrar correctamente.
La importancia del hueso para la colocación de implantes
Siempre les digo a mis pacientes que el implante necesita quedar completamente sumergido en hueso. Todas sus superficies deben estar rodeadas por hueso para que tenga buena estabilidad y funcione a largo plazo. Si esto no se logra, hay riesgo de que el implante no se integre o incluso se pierda. Por eso, cuando no hay suficiente hueso, tenemos que trabajar primero en regenerarlo antes de colocar el implante.
Cómo influye la calidad y cantidad ósea en los resultados
Tener buen hueso no significa solo tener “mucho”, sino que también debe ser de buena calidad: denso, bien irrigado y sano. En cada caso evaluamos cuánta cantidad de hueso hay, en qué zona y qué tipo de injerto vamos a necesitar, si es que hace falta. Esta valoración se hace con radiografías o tomografías, y es clave para planificar un tratamiento exitoso y duradero.
Principales causas de la pérdida de hueso en maxilar y mandíbula (hueso dental)
La pérdida de hueso no ocurre de un día para otro. Generalmente es un proceso progresivo que puede pasar desapercibido por años, hasta que se vuelve evidente o causa molestias. En mi consulta veo muchos casos diferentes, pero hay algunas causas que se repiten con frecuencia y que es importante que conozcas para poder prevenir a tiempo.
Pérdida de dientes sin reemplazo
Cuando se cae un diente o lo extraemos y no lo reemplazamos, el hueso donde estaba esa raíz empieza a reabsorberse. Esto ocurre porque el hueso ya no recibe el estímulo que generaba la masticación. Con el tiempo, esa zona se va hundiendo y puede afectar no solo la estética, sino también la posibilidad de colocar un implante más adelante. Muchas personas identifican este cambio como pérdida de hueso dental, aunque el término correcto es pérdida de hueso alveolar del maxilar o la mandíbula.
Enfermedad periodontal avanzada
La periodontitis es una enfermedad inflamatoria que afecta las encías y el hueso que sostiene los dientes. Si no se trata a tiempo, va destruyendo poco a poco el soporte óseo y puede llevar incluso a la pérdida dental. Es una de las causas más comunes de pérdida de hueso (o “pérdida de hueso dental” en lenguaje cotidiano), y muchas veces avanza sin dolor, por eso es tan importante hacer controles periódicos.
Infecciones, traumatismos y envejecimiento
Las infecciones crónicas en las raíces dentales, los golpes fuertes en la cara o la mandíbula, y el paso del tiempo también pueden afectar la calidad y cantidad de hueso. A medida que envejecemos, el cuerpo tiende a perder densidad ósea en general, y la zona maxilar no es la excepción. Todo esto puede comprometer la estructura necesaria para futuros tratamientos.
Uso prolongado de prótesis mal ajustadas
Una prótesis que no encaja bien o que se mueve al masticar genera presión irregular sobre la encía y el hueso. Con el tiempo, esto puede acelerar la reabsorción ósea, lo que muchos pacientes perciben como pérdida de hueso dental. Es algo que veo mucho en personas que llevan años con la misma prótesis sin ajustes ni controles.
Condiciones médicas como la osteoporosis
En personas con enfermedades como la osteoporosis, la densidad ósea disminuye en todo el cuerpo, incluyendo el maxilar. Esto puede hacer que el hueso se vuelva más frágil y susceptible a la pérdida. También hay otros factores sistémicos, como la diabetes mal controlada, que pueden influir negativamente en la salud del hueso oral.
¿Cómo se detecta la pérdida de “hueso dental”?
Una de las preguntas más comunes que me hacen en consulta es: “Doctora, ¿cómo sé si he perdido hueso?”. La realidad es que en muchos casos la pérdida ósea no da síntomas visibles hasta que ya está avanzada. Por eso, una evaluación completa con el especialista es fundamental para hacer un diagnóstico preciso y a tiempo.
Evaluación clínica por el cirujano maxilofacial
En la consulta, lo primero que hacemos es una revisión detallada de tu boca: reviso el estado de tus encías, si hay movilidad dental, pérdida de volumen en la encía o cambios en la forma del maxilar. También evalúo cómo muerdes, si hay zonas donde falta soporte o si hay antecedentes de infecciones o tratamientos previos. A simple vista ya puedo identificar ciertas señales de alerta, pero para confirmar el diagnóstico, necesitamos apoyarnos en estudios de imagen.
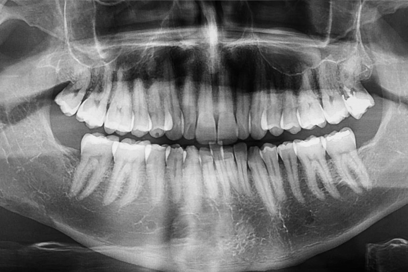
Estudios de imagen: radiografías y tomografía (CBCT)
Las radiografías panorámicas nos dan una visión general del estado de los huesos y los dientes, pero cuando necesitamos ver con más detalle, usamos la tomografía computarizada (CBCT). Esta tecnología nos permite ver en 3D cuánto hueso hay, en qué calidad está y si hay zonas donde necesitamos hacer regeneración. Es una herramienta clave para planificar tratamientos con injertos o implantes de forma segura y personalizada.
Reserva tu cita y comienza tu proceso de regeneración ósea con una especialista de confianza.
Tratamientos para recuperar el hueso maxilar o mandibular perdido
Cuando detectamos pérdida de hueso en un paciente, lo primero que explico es que sí existe solución, y que en la mayoría de los casos podemos regenerar ese hueso perdido con técnicas eficaces. Lo más importante es hacer una buena valoración inicial, porque no todos los pacientes necesitan lo mismo. Hay quienes requieren un pequeño aumento de volumen, y otros casos más complejos donde trabajamos con regeneración más avanzada o incluso con implantes especiales.
Injertos óseos: tipos y usos
Para que un implante se pueda colocar y funcione correctamente, necesitamos una base sólida, y esa base es el hueso. Cuando no hay suficiente, usamos injertos óseos que nos ayudan a reconstruir o mejorar esa estructura anatómica. Dependiendo del caso, usamos diferentes tipos de injertos, y aquí te explico brevemente los más comunes:

Injertos autólogos: hueso del mismo paciente
Estos injertos los obtenemos del propio cuerpo del paciente, por ejemplo, de una zona de la mandíbula o del mentón. Son muy útiles cuando necesitamos una pequeña cantidad de hueso y tienen la ventaja de ser completamente biocompatibles. Es decir, el cuerpo los reconoce como propios, lo que favorece la integración. Eso sí, al ser una cirugía un poco más invasiva, evaluamos muy bien cuándo vale la pena hacerlo.

Injertos heterólogos o xenoinjertos: de origen animal (cerdo o vaca)
Estos son los injertos que más usamos en el consultorio, y la verdad es que dan excelentes resultados. Provienen de especies como el cerdo o la vaca, pero pasan por un proceso riguroso de purificación y esterilización para que sean seguros y compatibles con el cuerpo humano. Además, vienen en diferentes presentaciones y gramajes, lo que nos permite adaptar la cantidad exacta al tipo de pérdida ósea —o pérdida de hueso dental— que tenga cada paciente. Por eso es tan importante la consulta previa, para determinar cuánto hueso se necesita colocar y qué tipo de injerto es el más adecuado para cada situación.
Importancia de la consulta para evaluar la necesidad de hueso
No todos los pacientes necesitan injertos grandes. Hay quienes con una pequeña cantidad pueden tener excelentes resultados, y otros casos que requieren procedimientos más amplios. En la consulta, hacemos una evaluación clínica completa y apoyada en imágenes para saber exactamente qué necesitas. Esto nos permite planificar el tratamiento con mucha precisión y minimizar riesgos o retratamientos.
Uso de membranas de colágeno para cubrir el injerto
Cuando colocamos un injerto óseo, no lo dejamos expuesto al ambiente interno de la boca, porque podría contaminarse o perderse. Por eso usamos una membrana de colágeno, que funciona como una especie de cobertor que protege el hueso nuevo mientras se integra.
Estas membranas actúan como una barrera física que ayuda a mantener el injerto en su lugar. Evitan que se desplace y lo aíslan de la presión o de otras estructuras que podrían interferir en su proceso de integración.
Además de proteger, crean un entorno ideal para que el cuerpo haga su trabajo de regeneración. Son completamente reabsorbibles, lo que significa que con el tiempo se integran al organismo sin necesidad de retirarlas, y permiten una cicatrización mucho más controlada y predecible.
Conoce más en mi blog Injerto de hueso dental: ¿Qué tipos existen?
Regeneración ósea guiada y técnicas avanzadas
Una de las técnicas que aplicamos con frecuencia se llama regeneración ósea guiada (ROG). Esta técnica consiste precisamente en usar injertos junto con membranas para “guiar” el crecimiento del nuevo hueso en la zona donde se ha perdido. Es muy útil en casos donde queremos aumentar el volumen de hueso de forma controlada, especialmente en el maxilar superior, que suele ser más complejo.
Además, trabajamos con tecnología que nos permite visualizar con gran precisión la zona a tratar y diseñar el procedimiento antes de entrar a cirugía. Esto mejora mucho la precisión y los resultados.
Implantes cigomáticos para casos con gran pérdida ósea
En los casos más extremos, donde hay una pérdida ósea severa en el maxilar superior y no es posible colocar injertos o regenerar de forma convencional, utilizamos una técnica llamada implantes cigomáticos. Estos implantes se anclan en el hueso del pómulo (hueso cigomático), que es mucho más denso y permite dar soporte sin necesidad de reconstruir todo el maxilar.
Es una técnica más avanzada, pero muy útil en pacientes que llevan años con prótesis o que ya han tenido intentos fallidos de regeneración. Lo importante es que hay alternativas incluso en los casos más complejos, y siempre buscamos la mejor opción para cada persona.
¿Qué pasa si no se trata la pérdida ósea?
Ignorar la pérdida ósea puede traer más consecuencias de las que imaginas. Aquí te resumo lo que puede pasar si no se actúa a tiempo:
- Dificultad para colocar implantes dentales: Sin hueso, el implante no tiene dónde sujetarse.
- Reabsorción progresiva del hueso maxilar: El hueso sigue disminuyendo con el paso del tiempo.
- Cambios en la forma del rostro: El rostro pierde soporte y se ve envejecido o hundido.
- Dificultades para usar prótesis dentales: Las prótesis se mueven, se caen o causan molestias.
- Mayor riesgo de movilidad o pérdida de dientes vecinos: Los dientes cercanos pierden soporte y pueden aflojarse.
- Problemas para masticar correctamente: Masticar se vuelve difícil, incómodo o doloroso.
- Afectación del habla: Puede dificultar la pronunciación y generar inseguridad.
- Aumento del riesgo de infecciones: La zona desprotegida acumula bacterias fácilmente.
- Limitaciones para otros tratamientos dentales: Complica o impide opciones como coronas o puentes.
- Impacto emocional y pérdida de autoestima: Afecta la confianza al hablar, sonreír o relacionarse.
Injertos óseos e implantes dentales en Bogotá con la Dra. Carolina Gil
Si te han dicho que no puedes ponerte implantes por falta de hueso, o si has notado cambios en tu encía, en tu mordida o en la forma de tu rostro, es muy probable que necesites una valoración para revisar la salud de tu hueso maxilar. No te preocupes: hoy en día existen soluciones muy eficaces, siempre que se haga un buen diagnóstico y planificación quirúrgica.
En mi consultorio realizamos tratamientos de injerto óseo, regeneración y colocación de implantes dentales adaptados a cada paciente. Ya sea que hayas perdido un solo diente o necesites una rehabilitación completa, podemos ayudarte a recuperar tanto la funcionalidad como la estética de tu sonrisa.
Te invito a agendar tu consulta de valoración conmigo. En ella revisaremos tu caso de forma personalizada y te explicaré paso a paso cuál es el mejor tratamiento para ti.
Atención también para pacientes internacionales
Si vives fuera de Colombia, no te preocupes: podemos hacer la primera consulta de valoración de manera virtual, donde revisaremos tus imágenes diagnósticas, hablaremos de tus expectativas y planificaremos tu tratamiento con anticipación. Muchos de mis pacientes vienen desde el exterior y contamos con experiencia para acompañarte en todo el proceso.
Preguntas frecuentes sobre la pérdida de hueso dental
¿El trastorno de la ATM se cura solo o siempre requiere tratamiento?
Sí. Aunque muchas personas relacionan la pérdida de hueso dental solo con la ausencia de dientes, la reabsorción también puede ocurrir cuando hay enfermedad periodontal, bruxismo severo, infecciones crónicas o pérdida de densidad ósea asociada a la edad. Incluso si tus dientes siguen en boca, el hueso que los sostiene puede deteriorarse silenciosamente, afectando la estabilidad a largo plazo.
¿La pérdida de hueso dental puede provocar dolor?
Generalmente no duele, y este es uno de los motivos por los cuales pasa desapercibida durante años. Sin embargo, cuando la pérdida es avanzada, puede generar sensibilidad, molestias al masticar o incluso dolor en las encías por falta de soporte. El dolor suele aparecer cuando hay infección, inflamación o movilidad dental, más que por la pérdida de hueso en sí.
¿Qué exámenes necesito para saber si tengo pérdida de hueso dental?
El diagnóstico suele incluir una radiografía panorámica y, si necesitamos más precisión, una tomografía 3D (CBCT). Esta última es clave porque nos permite medir el volumen de hueso disponible, identificar zonas debilitadas y planificar procedimientos como injertos, regeneración ósea o implantes. La tomografía también ayuda a detectar infecciones ocultas, quistes o pérdida ósea en áreas que no son visibles en una radiografía tradicional.
¿Es posible detener la pérdida de hueso sin cirugía?
Depende de la causa. Si la pérdida está asociada a enfermedad periodontal, un tratamiento periodontal avanzado puede frenar el proceso. Si se debe a bruxismo, controlarlo con férulas puede evitar mayor deterioro. En casos tempranos, mejorar la higiene y corregir factores inflamatorios ayuda a estabilizar. Pero cuando ya existe un déficit importante de hueso, lo único que permite recuperarlo es la regeneración ósea mediante injertos.
¿Los injertos óseos son dolorosos?
La mayoría de los pacientes describen la experiencia como manejable. Los procedimientos se realizan bajo anestesia local, sedación o incluso anestesia general en casos complejos. Después de la cirugía es normal sentir inflamación y un poco de molestia, pero suele controlarse fácilmente con medicamentos. Lo más importante es seguir las indicaciones postoperatorias para una recuperación tranquila y predecible.
¿Qué tan exitosos son los injertos óseos para tratar la pérdida de hueso dental?
Los injertos modernos, especialmente los xenoinjertos (de origen bovino o porcino) junto con membranas de colágeno, tienen tasas de éxito muy altas cuando se realizan con buena planificación. La regeneración ósea puede tardar entre 4 y 9 meses dependiendo del caso, pero en la mayoría de los pacientes logramos obtener suficiente volumen y densidad para colocar implantes de manera segura.
¿Cuánto tiempo dura un injerto óseo antes de que pueda colocarme un implante?
El tiempo varía según el tipo de injerto, la zona del maxilar y la cantidad de regeneración que necesita el paciente. En general, los injertos pequeños pueden integrarse en 4–6 meses, mientras que los aumentos más grandes requieren entre 6–9 meses antes de colocar un implante. Lo más importante es no acelerar el proceso para garantizar una base ósea firme y estable a largo plazo.
¿Qué pasa si tengo pérdida de hueso dental y no quiero injertos?
Existen alternativas en casos seleccionados, como implantes cortos, implantes inclinados o técnicas como los implantes cigomáticos (para el maxilar superior severamente reabsorbido). Sin embargo, estas opciones no son para todos y requieren una valoración minuciosa. El injerto óseo sigue siendo el método más seguro y predecible para recuperar el volumen perdido y lograr una rehabilitación funcional y estética.
¿La pérdida de hueso dental puede cambiar mi apariencia facial?
Sí. La pérdida de hueso altera el soporte de los tejidos blandos del rostro. Puede generar un aspecto hundido, envejecimiento prematuro, arrugas más marcadas alrededor de la boca e incluso cambios en la forma del perfil. Muchos pacientes buscan inicialmente una solución estética, pero descubren que la causa real es la reabsorción ósea. Recuperar el hueso mejora tanto la función como la armonía facial.
¿Qué puedo hacer para prevenir la pérdida de hueso dental?
Las medidas preventivas incluyen:
reemplazar dientes perdidos lo antes posible,
tratar la enfermedad periodontal,
controlar el bruxismo,
mantener buena higiene oral,
asistir a controles cada 6 meses,
y realizar estudios de imagen cuando el especialista lo indique.
Un diagnóstico temprano es clave: mientras más pronto se detecte el problema, menos invasivo será el tratamiento.